Dental Implants in Hickory, NC
At Michael Cordora, DDS, we understand the impact that missing teeth can have on your confidence and oral health. That's why we offer state-of-the-art dental implant services to help you reclaim your smile and enjoy a lifetime of confident, comfortable chewing.
What are dental implants?
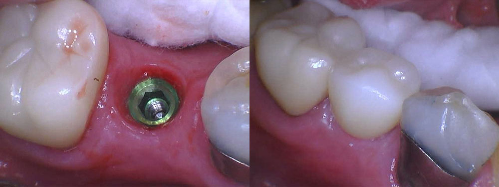
Dental implants are the gold standard for tooth replacement, providing a permanent solution that looks, feels, and functions just like natural teeth. Made of biocompatible titanium posts, dental implants are surgically placed into the jawbone to serve as artificial tooth roots. These posts fuse with the bone through a process called osseointegration, providing a stable foundation for replacement teeth.

Benefits of Dental Implants
- Natural Appearance: Dental implants blend seamlessly with your natural teeth, providing a lifelike restoration that enhances your smile.
- Improved Functionality: Unlike traditional dentures, dental implants allow you to eat, speak, and smile with confidence, without worrying about slippage or discomfort.
- Preserved Bone Health: By stimulating the jawbone like natural tooth roots, dental implants help prevent bone loss and preserve your facial structure.
- Longevity: With proper care, dental implants can last a lifetime, making them a durable and cost-effective tooth replacement solution.
- Enhanced Confidence: Dental implants restore your ability to smile confidently, speak clearly, and enjoy your favorite foods without limitations.

Our Dental Implant Procedure
- Initial Consultation: During your initial visit to our Hickory dental office, Dr. Cordora will evaluate your oral health, discuss your treatment goals, and determine if dental implants are the right option for you.
- Treatment Planning: Using iTero® 3D digital imaging technology and CT imaging, we will determine bone quantity, quality, and volume to assess dental implant potential and prognosis, as well as create a surgical guide for optimal placement for each implant.
- Implant Placement: The dental implant placement procedure is performed under local anesthesia for your comfort. Dr. Cordora will carefully place the titanium implant posts into the jawbone at precise angles and depths to ensure the stability and strength of each implant.
- Healing Period: After implant placement, a healing period of several months is required to allow the implants to integrate with the surrounding bone. During this time, temporary restorations may be placed to maintain aesthetics and function.
- Final Restoration: Once the implants have fully healed and integrated with the jawbone, custom-made dental crowns, bridges, or dentures are securely attached to the implants, completing your smile restoration.
- Follow-Up Care: We will provide detailed instructions on caring for your dental implants and schedule regular follow-up appointments to monitor your oral health and the integrity of your implants.

Schedule Your Dental Implant Consultation Today
Don't let missing teeth hold you back from living your best life. Schedule a consultation with Dr. Cordora to learn more about the transformative benefits of dental implants and take the first step towards a confident, healthy smile.
